Jaw surgery – expert solutions for complex bite and jaw issues
For some patients, braces or aligners alone aren’t enough to correct serious bite or jaw problems. At Darwin Orthodontics, we refer orthognathic (jaw) surgery in partnership with leading oral and maxillo-facial surgeons. This treatment addresses severe overbites, underbites, open bites and facial asymmetry - restoring function, balance and confidence.

What does jaw surgery involve?
Orthognathic surgery is a carefully planned, multi-disciplinary approach. At Darwin Orthodontics, Dr Yann Taddei works alongside an experienced oral and maxillo-facial surgeon to ensure the best results. Treatment typically involves three key stages:
- Pre-surgical braces: Braces are usually worn for around 12 months before surgery to position the teeth correctly for realignment.
- Surgical correction: Carried out under general anaesthetic in hospital by the oral surgeon, with our orthodontist involved in the planning and coordination.
- Post-surgical refinement: After a short recovery period, braces are worn for another 4-6 months to fine-tune your bite and complete your smile.
It’s important to note that jaw surgery can only be performed once jaw growth is complete (usually around age 16 for females and 18 for males).

Is jaw surgery right for me?
Jaw surgery may be recommended if you are experiencing:
- A severe overbite or underbite
- Jaw misalignment or an open bite
- Difficulty chewing, biting or speaking clearly
- Facial imbalance or asymmetry
- Jaw joint pain or ongoing discomfort
- Concerns that can’t be corrected with braces or aligners alone
A comprehensive consultation at Darwin Orthodontics will help determine whether orthognathic surgery is the right option for your needs.

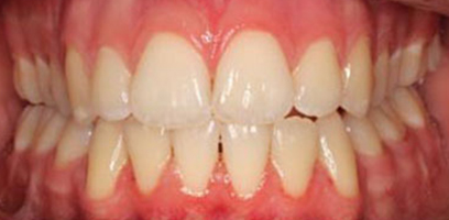
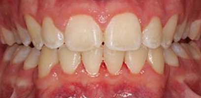
Orthognathic surgery before and after photos
Orthognathic surgery can have a life-changing impact on both function and appearance. Take a look at our jaw surgery before and after photos to see how treatment improves bite alignment, facial balance and confidence.
How much is orthognathic surgery?
Patients often ask, “How much is jaw surgery?” The cost of orthognathic surgery varies depending on the complexity of the case, surgical and hospital fees, and any follow-up treatment required.
At Darwin Orthodontics, you’ll receive a clear breakdown of expected costs during your consultation. To make treatment more accessible, we also provide flexible, interest-free payment plans tailored to your circumstances.

Jaw surgery FAQs
How long is the recovery from jaw surgery?
Most patients spend one to two weeks recovering at home after surgery. Swelling and mild discomfort are normal in the first few days, but most people return to work or school within two weeks.
How long will I need braces after jaw surgery?
Will I need to stay in the hospital?
Are the results permanent?
Is jaw surgery painful?
Request a consultation for jaw surgery in the NT
If you’re concerned about jaw misalignment, overbite surgery, or other complex bite issues, our team is here to guide you every step of the way. Request a consultation with Darwin Orthodontics today and explore your treatment options with expert support and care.
Request a consultation