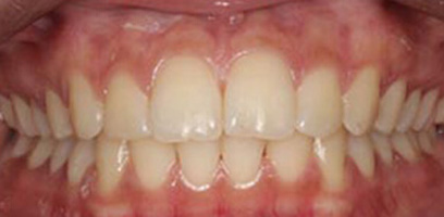
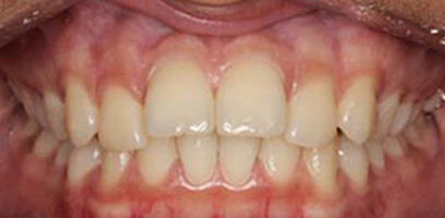
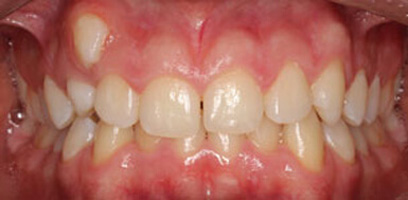
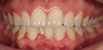
Orthodontic results
At Darwin Orthodontics, we’ve been transforming smiles across the NT for more than 30 years. From braces to clear aligners like Invisalign® and Spark, our before and after photos show the real difference expert orthodontic care can make. Every smile here represents the dedication of our patients and our specialist team - and proof that it’s never too late to achieve the confident smile you deserve.

See our smile transformations
From simple crowding to more complex bite issues, our gallery showcases results with braces, Invisalign®, and other clear aligners. Whether you’re a child, teen, or adult, you’ll see what’s possible when you start treatment with Darwin Orthodontics.
Your smile could be next
Do you love what you see? With treatment options tailored to every stage of life - and flexible payment plans from just $63 per week - your transformation could be just around the corner.
Request a consultation